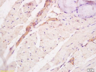
细胞粘合素/腱糖蛋白-C/固生蛋白抗体

期货待确认

¥ 2,800.00 2800.0 CNY ¥ 2,800.00

¥ 2,800.00


    此组合不存在。

    加购物车

    目录号:bs-1327R

    计量单位:PC

    商品规格:200ul

    分享商品:
    无规格
    这是用户近期浏览商品预览.
    只要用户查看过一个商品这个片断就会显示.
    近期浏览商品